
Aren't you losing chance?
歯の印象で
損をしていませんか?
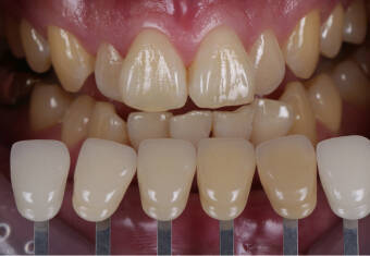
清潔感があり、
良い印象を与えやすい色
ケアして
いない人の平均色
人の第一印象は、顔全体の印象が大きく関与しています。
歯が白くなることで笑顔に自信が持てるようになり、清潔感や健康的な印象を与えます。
また、歯を削らずに自然な白さを実現できるため、歯の健康を保ちながら美しい見た目を手に入れられます。
さらに、口元のコンプレックスが解消され、人と話すことや笑うことに積極的になれる心理的効果もあります。
-
BEFORE
AFTER
-
▼

-
▼

-
▼


白い歯で
あなた史上、最高の笑顔へ。
まずはお問い合わせください!
- 二子新地駅 徒歩4分
- 土曜日 診療
Do you have any worries? こんなお悩みはありませんか?
- 黄ばみや汚れが気になる
- 歯の色が気になりマスクを外せない
- 結婚式や面接などのイベントがある
- 自分の笑顔に自信を持ちたい
- 加齢により、歯の色が黄ばんできた
歯の白さであなたの印象が
グッと変わる!


Reason for choosing
当院が選ばれる
3つの理由
-
自然な美しさを追求
ただ白くするだけでなく、患者様の顔色や歯の質感に合わせた「自然な白さ」を実現します。笑顔がより魅力的になるホワイトニングをお届けします。
-
痛みを抑えた安心施術
当院は最新の医療機器を導入し、厳しい安全基準をクリアしています。お肌や歯への負担を最小限に抑えた施術が可能です。
-
一人ひとりに合わせた
オーダーメイドケア
お客様の歯の状態やライフスタイルに合わせた、最適なホワイトニングプランをご提案します。カウンセリングから施術後のケアまで、専門スタッフがしっかりサポートいたします。

白い歯で
あなた史上、最高の笑顔へ。
まずはお問い合わせください!
- 二子新地駅 徒歩4分
- 土曜日 診療
types of teeth whitening and how
あなたにあった
ホワイトニングの方法
白さの即効性を
求める方にオススメ
オフィスホワイトニング
歯科医院で行うホワイトニングで、専用の薬剤を歯に塗布し、特殊な光を当てて歯を白くします。
POINT
短期間でホワイトニングの効果を
実感できるが、後戻りしやすい
忙しくて歯科医院に
通えない方にオススメ
ホームホワイトニング
歯科医院で作成した専用のマウスピースにホワイトニングジェルを入れ、自宅で一定時間装着します。
POINT
歯が白くなるまでに時間がかかる分、
色戻りしにくい
忙しくて歯科医院に
通えない方にオススメ
デュアルホワイトニング
おすすめ!
オフィスホワイトニングとホームホワイトニングを併用する方法です。
POINT
ホワイトニングの即効性と
白さの持続性が高い
神経のない歯を削らずに
白くしたい方にオススメ
ウォーキングブリーチ
神経がなくなった歯(失活歯)の内部に漂白剤を封入し、内側から歯を白くする方法です
POINT
神経が死んで変色した歯を
削らずに白く戻すことが可能
The safety of whitening treatments 安全性について

-
注意すべき点
歯のホワイトニングは、適切な方法で行えば安全です。歯科医師の指導のもとで行うことで、歯や歯茎に対するリスクを最小限に抑えることができます。
ただし、以下の点に注意が必要です。 -
知覚過敏
一時的に歯がしみることがありますが、通常は数日で治まります。
-
歯茎の刺激
薬剤が歯茎に触れると刺激を感じることがあります。

Difference between a salon and a dentist's office サロンと歯科医院のちがい
-
薬剤の違い
サロンとの大きな違いは歯科医師・歯科衛生士しか取り扱いができない『過酸化水素水』を含んだ、ホワイトニング薬剤を使用できる点です。
上記に当てはまる方は、
ホワイトニングサロンではなく、
歯医者に行くことをお勧めしております。 -
安全性が高い
セルフホワイトニングを行うサロンなどには、歯科医師や歯科衛生士がいない場合が多いです。
万が一、施術中に歯や口腔内にトラブルが発生しても、治療できないというリスクがあります。 -
色がムラにならない
セルフホワイトニングは薬剤を均一に塗るのが難しく、色ムラができることがあります。また、神経のない歯や被せ物が白くならず、不自然な仕上がりになりがちです。歯科医院なら色ムラを防ぎ、歯全体を均一に美しい白さに仕上げることができます。
なかじま歯科クリニックで
歯のホワイトニング
してみませんか?
白い歯が
多くの光を反射して
肌がキレイに
見える!

清潔な印象を与えて
年齢より若々しく
健康的に見える!

自分の内面も変わり
笑顔に
自信がつく!

歯の凹凸が
目立たなくなり
歯並びが
よく見える!


白い歯で
あなた史上、最高の笑顔へ。
まずはお問い合わせください!
- 二子新地駅 徒歩4分
- 土曜日 診療
予約からカウンセリングまでの流れ
-
予約(2〜3分で完了)
電話、WEB予約から施術の予約
またはカウンセリングの予約
-
来院(最大90分で完了)
実際の施術前に歯科医師が直接お客様の口内環境を確認いたします。
-
現在の歯の色をチェック
施術前後でどれだけ白くなったか違いが確認できるよう施術前の歯のお色をチェックします。
-
カウンセリング、プランの決定
目標と知る色を達成するためのプランや、一人ひとりの歯の質に合わせたご提案をいたします。
オフィスホワイトニングの流れ
-
施術前のジェットクリーニングとシミ止め
歯の表面には細菌の膜があり、薬剤を浸透しやすくするため塩を含んだ特殊なパウダーで最近の膜や汚れを落とします。
-
いよいよ施術開始!
薬剤塗布・照射「最新の薬事承認」を取得した薬剤を歯面に塗布し、業界唯一のクラスⅡ認証を取得した照射器を使って歯を白くしていきます。
-
アフターケアもばっちり!
色戻り防止磨き&
歯の色チェックナノアバタイトコートというナノ粒子を含むペーストでホワイトニング後の歯を1本ずつ丁寧に磨き上げます。
-
アフターカウンセリング
施術後の注意(30分は色の濃いものの食事を控えていただくなど)のご説明など、お客様の不安が残らないようご質問にお答えします。
ホームホワイトニングの流れ
-
カウンセリング&
歯のチェックまずは歯科医院でカウンセリングを行い、歯の状態を確認します。あなたに合ったホワイトニング方法を提案し、マウスピースの型取りを行います。
-
マウスピースの作成
歯型をもとに専用のマウスピースを作成。約1週間ほどで完成し、受け渡し時に使い方の説明をします。
-
ご自宅でホワイトニング開始
マウスピースにホワイトニングジェルを入れ、指定の時間(1日数時間)装着。これを2週間ほど続けることで、徐々に白さがアップします。
-
経過チェック&メンテナンス
定期的に歯科医院でチェックを行い、効果を確認。理想の白さになったら、色戻りを防ぐためのアドバイスいたします。
デュアルホワイトニングの流れ
-
カウンセリング&
歯のチェックまずは歯科医院でカウンセリングを行い、歯の状態を確認。ホワイトニングが可能か診断し、施術の流れを説明します。
-
オフィスホワイトニング(歯科で施術)
歯科医院で専用の高濃度ジェルと特殊な光を使い、短時間で歯を白くします。1回の施術でも効果が期待でき、理想の白さに近づけます。
-
ホームホワイトニング(自宅でケア)
オフィスホワイトニングの効果を持続させるために、自宅で専用ジェルとマウスピースを使ってホワイトニングを継続。約2週間かけて、さらに白さをアップさせます。
-
仕上がりチェック&メンテナンス
最終的な白さを確認し、色戻りを防ぐためのアドバイスを受けます。定期的なメンテナンスを行うことで、白さを長くキープできます。
ウォーキングブリーチの流れ
-
カウンセリング&
歯のチェックまずは歯科医院でカウンセリングを行い、歯の状態を確認。ウォーキングブリーチが可能か診断し、施術の流れを説明します。
-
根管の洗浄
まず、歯の内部(根管)を丁寧に治療します。この工程では、黒ずみの原因となる血液や鉄分が付着した歯髄の残骸を徹底的に取り除き、歯の中を清潔な状態に整えます。
-
薬剤の封入
根管治療を終えた歯の内部に、専用の漂白剤を封入します。これを2〜3回ほど続けて行うことで、内側から少しずつ黒ずみが薄まり、自然な白さを取り戻していきます。
-
根管の封鎖
漂白剤を取り除いた後、内部を洗浄して清潔に保ちます。そのうえで、「コンポジットレジン」と呼ばれる白い樹脂で根管をしっかり封鎖し、歯の形を美しく整えて治療完了です。


